Target:HIF-1α
Fields:HIF-1 signaling pathway;Mitophagy - animal;Autophagy - animal;Th17 cell differentiation;Thyroid hormone signaling pathway;Kaposi sarcoma-associated herpesvirus infection;Pathways in cancer;Proteoglycans in cancer;Chemical carcinogenesis - reactive oxygen species;Renal cell carcinoma;Central carbon metabolism in cancer;Choline metabolism in cancer;PD-L1 expression and PD-1 checkpoint pathway in cancer
Gene Name:HIF1A
Protein Name:Hypoxia-inducible factor 1-alpha
Human Gene Id:3091
Human Swiss Prot No:Q16665
Mouse Gene Id:15251
Mouse Swiss Prot No:Q61221
Rat Gene Id:29560
Rat Swiss Prot No:O35800
Immunogen:The antiserum was produced against synthesized peptide derived from human HIF-1alpha. AA range:328-377
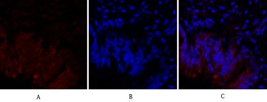
Specificity:HIF-1α Polyclonal Antibody detects endogenous levels of HIF-1α protein.
Formulation:Liquid in PBS containing 50% glycerol, 0.5% BSA and 0.02% sodium azide.
Source:Polyclonal, Rabbit,IgG
Dilution:IF 1:50-200 WB 1:500 - 1:2000.IP 1:200 IHC 1:100 - 1:300. ELISA: 1:40000. Not yet tested in other applications.
Purification:The antibody was affinity-purified from rabbit antiserum by affinity-chromatography using epitope-specific immunogen.
Concentration:1 mg/ml
Storage Stability:-15°C to -25°C/1 year(Do not lower than -25°C)
Other Name:HIF1A;BHLHE78;MOP1;PASD8;Hypoxia-inducible factor 1-alpha;HIF-1-alpha;HIF1-alpha;ARNT-interacting protein;Basic-helix-loop-helix-PAS protein MOP1;Class E basic helix-loop-helix protein 78;bHLHe78;Member of PAS protein 1;PAS doma
Observed Band(KD):92-130kD
Background:hypoxia inducible factor 1 alpha subunit(HIF1A) Homo sapiens This gene encodes the alpha subunit of transcription factor hypoxia-inducible factor-1 (HIF-1), which is a heterodimer composed of an alpha and a beta subunit. HIF-1 functions as a master regulator of cellular and systemic homeostatic response to hypoxia by activating transcription of many genes, including those involved in energy metabolism, angiogenesis, apoptosis, and other genes whose protein products increase oxygen delivery or facilitate metabolic adaptation to hypoxia. HIF-1 thus plays an essential role in embryonic vascularization, tumor angiogenesis and pathophysiology of ischemic disease. Alternatively spliced transcript variants encoding different isoforms have been identified for this gene. [provided by RefSeq, Jul 2011],
Function:domain:Contains two independent C-terminal transactivation domains, NTAD and CTAD, which function synergistically. Their transcriptional activity is repressed by an intervening inhibitory domain (ID).,function:Functions as a master transcriptional regulator of the adaptive response to hypoxia. Under hypoxic conditions activates the transcription of over 40 genes, including, erythropoietin, glucose transporters, glycolytic enzymes, vascular endothelial growth factor, and other genes whose protein products increase oxygen delivery or facilitate metabolic adaptation to hypoxia. Plays an essential role in embryonic vascularization, tumor angiogenesis and pathophysiology of ischemic disease. Binds to core DNA sequence 5'-[AG]CGTG-3' within the hypoxia response element (HRE) of target gene promoters. Activation requires recruitment of transcriptional coactivators such as CREBPB and EP300. Acti
Subcellular Location:Cytoplasm . Nucleus . Nucleus speckle . Colocalizes with HIF3A in the nucleus and speckles (By similarity). Cytoplasmic in normoxia, nuclear translocation in response to hypoxia (PubMed:9822602). .
Expression:Expressed in most tissues with highest levels in kidney and heart. Overexpressed in the majority of common human cancers and their metastases, due to the presence of intratumoral hypoxia and as a result of mutations in genes encoding oncoproteins and tumor suppressors. A higher level expression seen in pituitary tumors as compared to the pituitary gland.
商品信息已成功复制,启研竭诚为您服务
