Target:Androgen Receptor
Fields:Oocyte meiosis;Pathways in cancer;Chemical carcinogenesis - receptor activation;Prostate cancer
Gene Name:AR
Protein Name:Androgen receptor
Human Gene Id:367
Human Swiss Prot No:P10275
Mouse Gene Id:11835
Mouse Swiss Prot No:P19091
Rat Gene Id:24208
Rat Swiss Prot No:P15207
Immunogen:Synthesized peptide derived from the Internal region of human AR.
Specificity:AR Polyclonal Antibody detects endogenous levels of AR protein.
Formulation:Liquid in PBS containing 50% glycerol, 0.5% BSA and 0.02% sodium azide.
Source:Polyclonal, Rabbit,IgG
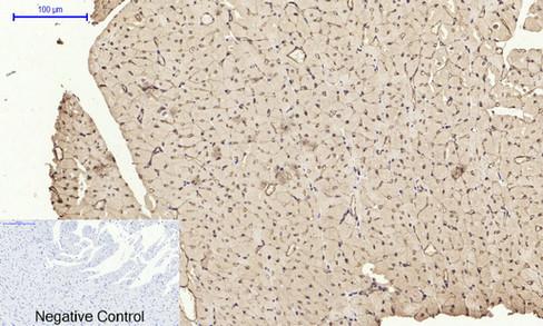
Dilution:IF 1:50-200 WB 1:500-2000, ELISA 1:10000-20000 IHC 1:50-300
Purification:The antibody was affinity-purified from rabbit antiserum by affinity-chromatography using epitope-specific immunogen.
Concentration:1 mg/ml
Storage Stability:-15°C to -25°C/1 year(Do not lower than -25°C)
Other Name:AR;DHTR;NR3C4;Androgen receptor;Dihydrotestosterone receptor;Nuclear receptor subfamily 3 group C member 4
Observed Band(KD):99kD
Background: The androgen receptor gene is more than 90 kb long and codes for a protein that has 3 major functional domains: the N-terminal domain, DNA-binding domain, and androgen-binding domain. The protein functions as a steroid-hormone activated transcription factor. Upon binding the hormone ligand, the receptor dissociates from accessory proteins, translocates into the nucleus, dimerizes, and then stimulates transcription of androgen responsive genes. This gene contains 2 polymorphic trinucleotide repeat segments that encode polyglutamine and polyglycine tracts in the N-terminal transactivation domain of its protein. Expansion of the polyglutamine tract from the normal 9-34 repeats to the pathogenic 38-62 repeats causes spinal bulbar muscular atrophy (Kennedy disease). Mutations in this gene are also associated with complete androgen insensitivity (CAIS). Two alternatively spliced variants encoding distinct isoform
Function:disease:Defects in AR are the cause of androgen insensitivity syndrome (AIS) [MIM:300068]; previously known as testicular feminization syndrome (TFM). AIS is an X-linked recessive form of pseudohermaphroditism due end-organ resistance to androgen. Affected males have female external genitalia, female breast development, blind vagina, absent uterus and female adnexa, and abdominal or inguinal testes, despite a normal 46,XY karyotype.,disease:Defects in AR are the cause of androgen insensitivity syndrome partial (PAIS) [MIM:312300]; also known as Reifenstein syndrome. PAIS is characterized by hypospadias, hypogonadism, gynecomastia, genital ambiguity, normal XY karyotype, and a pedigree pattern consistent with X-linked recessive inheritance. Some patients present azoospermia or severe oligospermia without other clinical manifestations.,disease:Defects in AR are the cause of spinal and bulb
Subcellular Location:Nucleus . Cytoplasm . Detected at the promoter of target genes (PubMed:25091737). Predominantly cytoplasmic in unligated form but translocates to the nucleus upon ligand-binding. Can also translocate to the nucleus in unligated form in the presence of RACK1. .
Expression:[Isoform 2]: Mainly expressed in heart and skeletal muscle. ; [Isoform 3]: Expressed in basal and stromal cells of the prostate (at protein level).
商品信息已成功复制,启研竭诚为您服务
