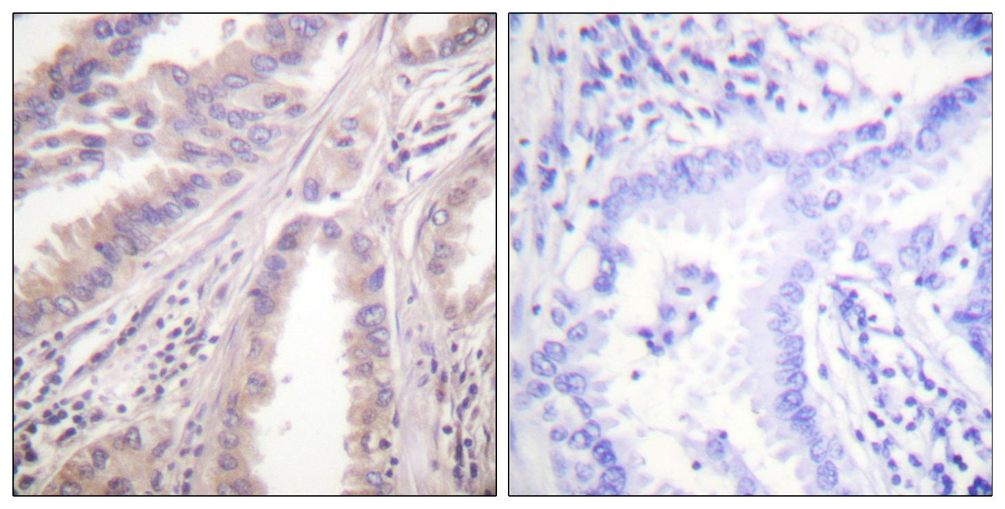
Target:Eg5
Gene Name:KIF11
Protein Name:Kinesin-like protein KIF11
Human Gene Id:3832
Human Swiss Prot No:P52732
Mouse Swiss Prot No:Q6P9P6
Immunogen:The antiserum was produced against synthesized peptide derived from human KIF11/Eg5. AA range:892-941
Specificity:Eg5 Polyclonal Antibody detects endogenous levels of Eg5 protein.
Formulation:Liquid in PBS containing 50% glycerol, 0.5% BSA and 0.02% sodium azide.
Source:Polyclonal, Rabbit,IgG
Dilution:WB 1:500 - 1:2000. IHC 1:100 - 1:300. IF 1:200 - 1:1000. ELISA: 1:20000. Not yet tested in other applications.
Purification:The antibody was affinity-purified from rabbit antiserum by affinity-chromatography using epitope-specific immunogen.
Concentration:1 mg/ml
Storage Stability:-15°C to -25°C/1 year(Do not lower than -25°C)
Other Name:KIF11;EG5;KNSL1;TRIP5;Kinesin-like protein KIF11;Kinesin-like protein 1;Kinesin-like spindle protein HKSP;Kinesin-related motor protein Eg5;Thyroid receptor-interacting protein 5;TR-interacting protein 5;TRIP-5
Observed Band(KD):119kD
Background:kinesin family member 11(KIF11) Homo sapiens This gene encodes a motor protein that belongs to the kinesin-like protein family. Members of this protein family are known to be involved in various kinds of spindle dynamics. The function of this gene product includes chromosome positioning, centrosome separation and establishing a bipolar spindle during cell mitosis. [provided by RefSeq, Jul 2008],
Function:function:Motor protein required for establishing a bipolar spindle. Blocking of KIF11 prevents centrosome migration and arrest cells in mitosis with monoastral microtubule arrays.,PTM:Phosphorylated exclusively on serine during S phase, but on both serine and Thr-926 during mitosis, so controlling the association of KIF11 with the spindle apparatus (probably during early prophase). Phosphorylated upon DNA damage, probably by ATM or ATR.,similarity:Belongs to the kinesin-like protein family. BimC subfamily.,similarity:Contains 1 kinesin-motor domain.,subunit:Interacts with the thyroid hormone receptor in the presence of thyroid hormone. Component of a large chromatin remodeling complex, at least composed of MYSM1, PCAF, RBM10 and KIF11/TRIP5.,
Subcellular Location:Cytoplasm . Cytoplasm, cytoskeleton, spindle pole .
Expression: Brain,Epithelium,Lung,
商品信息已成功复制,启研竭诚为您服务
