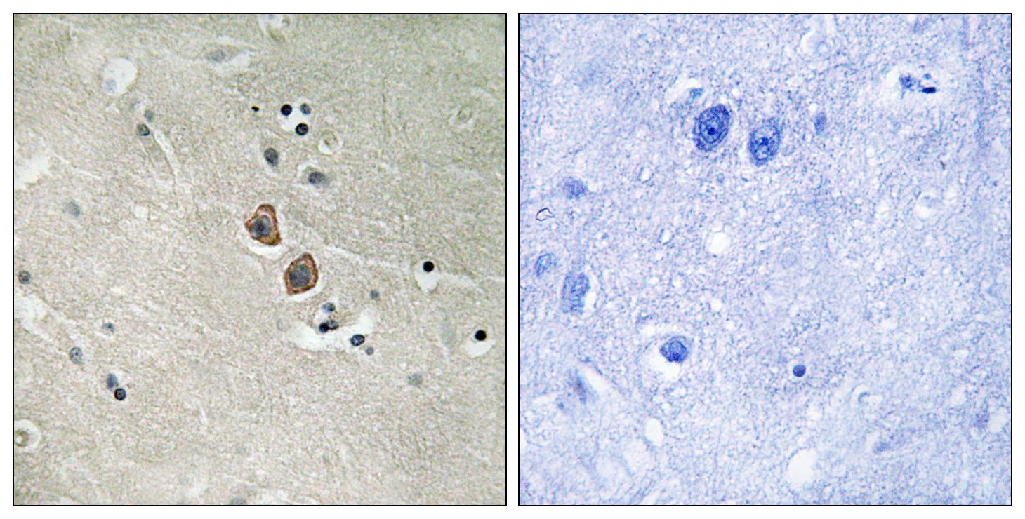
Target:Neuroplastin
Gene Name:NPTN
Protein Name:Neuroplastin
Human Gene Id:27020
Human Swiss Prot No:Q9Y639
Mouse Gene Id:20320
Mouse Swiss Prot No:P97300
Rat Gene Id:56064
Rat Swiss Prot No:P97546
Immunogen:The antiserum was produced against synthesized peptide derived from human NPTN. AA range:106-155
Specificity:Neuroplastin Polyclonal Antibody detects endogenous levels of Neuroplastin protein.
Formulation:Liquid in PBS containing 50% glycerol, 0.5% BSA and 0.02% sodium azide.
Source:Polyclonal, Rabbit,IgG
Dilution:IHC 1:100 - 1:300. ELISA: 1:5000.. IF 1:50-200
Purification:The antibody was affinity-purified from rabbit antiserum by affinity-chromatography using epitope-specific immunogen.
Concentration:1 mg/ml
Storage Stability:-15°C to -25°C/1 year(Do not lower than -25°C)
Other Name:NPTN;SDFR1;SDR1;Neuroplastin;Stromal cell-derived receptor 1;SDR-1
Molecular Weight(Da):31kD
Background: This gene encodes a type I transmembrane protein belonging to the Ig superfamily. The protein is believed to be involved in cell-cell interactions or cell-substrate interactions. Alternative splicing results in multiple transcript variants. [provided by RefSeq, May 2009],
Function:PTM:N-glycosylated.,similarity:Contains 1 Ig-like C2-type (immunoglobulin-like) domain.,similarity:Contains 1 Ig-like V-type (immunoglobulin-like) domain.,tissue specificity:Isoform 1 is ubiquitous.,
Subcellular Location:Cell membrane ; Single-pass type I membrane protein .; [Isoform 2]: Cell junction, synapse, postsynaptic density .
Expression:Isoform 1 is ubiquitously expressed. Isoform 2 is expressed in brain cortex and cerebellum (at protein level).
商品信息已成功复制,启研竭诚为您服务
