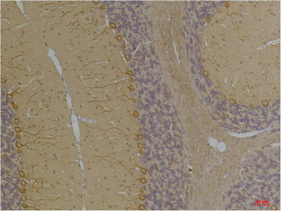
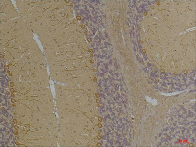
Main InformationTargetKv1.8Host SpeciesRabbitReactivityHuman, MouseApplicationsWB, IHC, IFMW58kD (Observed)Conjugate/ModificationUnmodifiedDetailed InformationRecommended Dilution RatioWB 1:1000-2000; IHC 1:100-200; IF 1:50-200FormulationLiquid in PBS containing 50% glycerol, 0.5% BSA and 0.02% sodium azide.SpecificityKv1.8 protein(A258) detects endogenous levels of Kv1.8PurificationThe antibody was affinity-purified from rabbit antiserum by affinity-chromatography using epitope-specific immunogen.Storage-15°C to -25°C/1 year(Do not lower than -25°C)Concentration1 mg/mlMW(Observed)58kDModificationUnmodifiedClonalityPolyclonalIsotypeIgGAntigen&Target InformationImmunogen:Synthetic Peptide of Kv1.8 AA range: 194-244Specificity:Kv1.8 protein(A258) detects endogenous levels of Kv1.8Gene Name:KCNA10Protein Name:Potassium voltage-gated channel subfamily A member 10 (Voltage-gated potassium channel subunit Kv1.8)Other Name:Potassium voltage-gated channel subfamily A member 10 ; Voltage-gated potassium channel subunit Kv1.8 ;Background:Potassium channels represent the most complex class of voltage-gated ion channels from both functional and structural standpoints. Their diverse functions include regulating neurotransmitter release, heart rate, insulin secretion, neuronal excitability, epithelial electrolyte transport, smooth muscle contraction, and cell volume. Four sequence-related potassium channel genes - shaker, shaw, shab, and shal - have been identified in Drosophila, and each has been shown to have human homolog(s). This gene encodes a member of the potassium channel, voltage-gated, shaker-related subfamily. This member contains six membrane-spanning domains with a shaker-type repeat in the fourth segment. It is specifically regulated by cGMP and postulated to mediate the effects of substances that increase intracellular cGMP. This gene is intronless, and the gene is clustered with genes KCNAFunction:Domain:The N-terminus may be important in determining the rate of inactivation of the channel while the tail may play a role in modulation of channel activity and/or targeting of the channel to specific subcellular compartments.,Domain:The segment S4 is probably the voltage-sensor and is characterized by a series of positively charged amino acids at every third position.,Function:Mediates voltage-dependent potassium ion permeability of excitable membranes. Assuming opened or closed conformations in response to the voltage difference across the membrane, the protein forms a potassium-selective channel through which potassium ions may pass in accordance with their electrochemical gradient. The channel activity is up-regulated by cAMP.,similarity:Belongs to the potassium channel family. A (Shaker) subfamily.,subunit:Homotetramer. Interacts with KCN4B/POMP. Interaction with KCN4B/POMP is necessary for the modulation of channel activity by cAMP.,tissue specificity:Detected in kidney, in proximal tubules, glomerular endothelium, in vascular endothelium and in smooth muscle cells.,Cellular Localization:Membrane ; Multi-pass membrane protein .Tissue Expression:Detected in kidney, in proximal tubules, glomerular endothelium, in vascular endothelium and in smooth muscle cells.
商品信息已成功复制,启研竭诚为您服务
