Target:EGFR
Fields:EGFR tyrosine kinase inhibitor resistance;Endocrine resistance;MAPK signaling pathway;ErbB signaling pathway;Ras signaling pathway;Rap1 signaling pathway;Calcium signaling pathway;HIF-1 signaling pathway;FoxO signaling pathway;Phospholipase D signaling pathway;Endocytosis;PI3K-Akt signaling pathway;Focal adhesion;Adherens junction;Gap junction;JAK-STAT signaling pathway;Regulation of actin cytoskeleton;GnRH signaling pathway;Estrogen signaling pathway;Oxytocin signaling pathway;Relaxin signaling pathway;Parathyroid hormone synthesis, secretion and action;Cushing syndrome;Epithelial cell signaling in Helicobacter pylori infection;Shigellosis;Hepatitis C;Human cytomegalovirus infection;Human papillomavirus infection;Coronavirus disease - COVID-19;Pathways in cancer;Proteoglycans in cancer;MicroRNAs in cancer;Chemical carcinogenesis - receptor activation;Chemical carcinogenesis - reactive oxygen species;Colorectal cance
Gene Name:EGFR
Protein Name:Epidermal growth factor receptor
Human Gene Id:1956
Human Swiss Prot No:P00533
Mouse Gene Id:13649
Mouse Swiss Prot No:Q01279
Immunogen:The antiserum was produced against synthesized peptide derived from human EGFR around the phosphorylation site of Ser1070. AA range:1041-1090
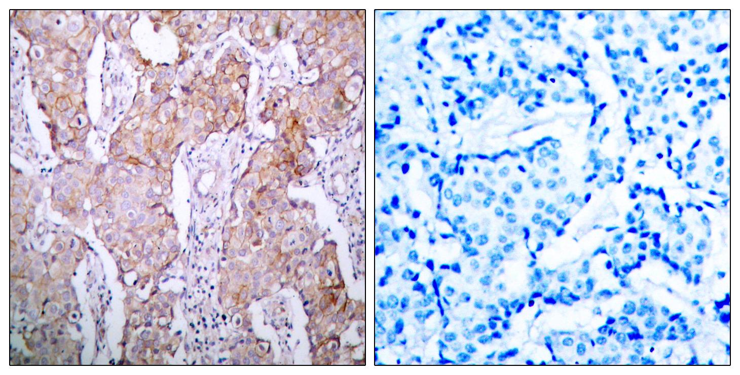
Specificity:Phospho-EGFR (S1070) Polyclonal Antibody detects endogenous levels of EGFR protein only when phosphorylated at S1070.
Formulation:Liquid in PBS containing 50% glycerol, 0.5% BSA and 0.02% sodium azide.
Source:Polyclonal, Rabbit,IgG
Dilution:WB 1:500 - 1:2000. IHC 1:100 - 1:300. ELISA: 1:20000.. IF 1:50-200
Purification:The antibody was affinity-purified from rabbit antiserum by affinity-chromatography using epitope-specific immunogen.
Concentration:1 mg/ml
Storage Stability:-15°C to -25°C/1 year(Do not lower than -25°C)
Other Name:EGFR;ERBB;ERBB1;HER1;Epidermal growth factor receptor;Proto-oncogene c-ErbB-1;Receptor tyrosine-protein kinase erbB-1
Observed Band(KD):175kD
Background: The protein encoded by this gene is a transmembrane glycoprotein that is a member of the protein kinase superfamily. This protein is a receptor for members of the epidermal growth factor family. EGFR is a cell surface protein that binds to epidermal growth factor. Binding of the protein to a ligand induces receptor dimerization and tyrosine autophosphorylation and leads to cell proliferation. Mutations in this gene are associated with lung cancer. [provided by RefSeq, Jun 2016],
Function:catalytic activity:ATP + a [protein]-L-tyrosine = ADP + a [protein]-L-tyrosine phosphate.,disease:Defects in EGFR are associated with lung cancer [MIM:211980].,function:Isoform 2/truncated isoform may act as an antagonist.,function:Receptor for EGF, but also for other members of the EGF family, as TGF-alpha, amphiregulin, betacellulin, heparin-binding EGF-like growth factor, GP30 and vaccinia virus growth factor. Is involved in the control of cell growth and differentiation. Phosphorylates MUC1 in breast cancer cells and increases the interaction of MUC1 with C-SRC and CTNNB1/beta-catenin.,miscellaneous:Binding of EGF to the receptor leads to dimerization, internalization of the EGF-receptor complex, induction of the tyrosine kinase activity, stimulation of cell DNA synthesis, and cell proliferation.,online information:EGFR entry,PTM:Monoubiquitinated and polyubiquitinated upon EGF stimu
Subcellular Location:Cell membrane ; Single-pass type I membrane protein . Endoplasmic reticulum membrane ; Single-pass type I membrane protein. Golgi apparatus membrane; Single-pass type I membrane protein. Nucleus membrane; Single-pass type I membrane protein. Endosome . Endosome membrane. Nucleus . In response to EGF, translocated from the cell membrane to the nucleus via Golgi and ER (PubMed:20674546, PubMed:17909029). Endocytosed upon activation by ligand (PubMed:2790960, PubMed:17182860, PubMed:27153536, PubMed:17909029). Colocalized with GPER1 in the nucleus of estrogen agonist-induced cancer-associated fibroblasts (CAF) (PubMed:20551055). .; [Isoform 2]: Secreted.
Expression:Ubiquitously expressed. Isoform 2 is also expressed in ovarian cancers.
商品信息已成功复制,启研竭诚为您服务
