Target:Estrogen Receptor-α
Fields:Endocrine resistance;Estrogen signaling pathway;Prolactin signaling pathway;Thyroid hormone signaling pathway;Endocrine and other factor-regulated calcium reabsorption;Pathways in cancer;Proteoglycans in cancer;Chemical carcinogenesis - receptor activation;Breast cancer
Gene Name:ESR1
Protein Name:Estrogen receptor
Human Gene Id:2099
Human Swiss Prot No:P03372
Mouse Gene Id:13982
Mouse Swiss Prot No:P19785
Immunogen:The antiserum was produced against synthesized peptide derived from human Estrogen Receptor-alpha around the phosphorylation site of Ser118. AA range:91-140
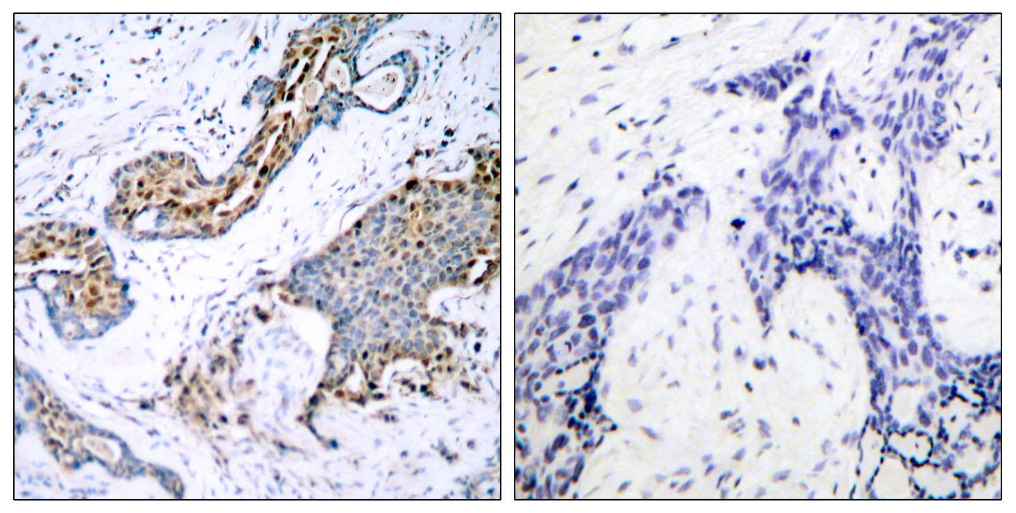
Specificity:Phospho-ERα (S118) Polyclonal Antibody detects endogenous levels of ERα protein only when phosphorylated at S118.
Formulation:Liquid in PBS containing 50% glycerol, 0.5% BSA and 0.02% sodium azide.
Source:Polyclonal, Rabbit,IgG
Dilution:WB 1:500 - 1:2000. IHC 1:100 - 1:300. ELISA: 1:20000.. IF 1:50-200
Purification:The antibody was affinity-purified from rabbit antiserum by affinity-chromatography using epitope-specific immunogen.
Concentration:1 mg/ml
Storage Stability:-15°C to -25°C/1 year(Do not lower than -25°C)
Other Name:ESR1;ESR;NR3A1;Estrogen receptor;ER;ER-alpha;Estradiol receptor;Nuclear receptor subfamily 3 group A member 1
Molecular Weight(Da):66kD
Background: This gene encodes an estrogen receptor, a ligand-activated transcription factor composed of several domains important for hormone binding, DNA binding, and activation of transcription. The protein localizes to the nucleus where it may form a homodimer or a heterodimer with estrogen receptor 2. Estrogen and its receptors are essential for sexual development and reproductive function, but also play a role in other tissues such as bone. Estrogen receptors are also involved in pathological processes including breast cancer, endometrial cancer, and osteoporosis. Alternative promoter usage and alternative splicing result in dozens of transcript variants, but the full-length nature of many of these variants has not been determined. [provided by RefSeq, Mar 2014],
Function:domain:Composed of three domains: a modulating N-terminal domain, a DNA-binding domain and a C-terminal steroid-binding domain.,function:Nuclear hormone receptor. The steroid hormones and their receptors are involved in the regulation of eukaryotic gene expression and affect cellular proliferation and differentiation in target tissues.,online information:Estrogen receptor entry,polymorphism:Genetic variations in ESR1 are correlated with bone mineral density (BMD). Low BMD is a risk factor for osteoporotic fracture. Osteoporosis is characterized by reduced bone mineral density, disrutption of bone microarchitecture, and the alteration of the amount and variety of non-collagenous proteins in bone. Osteoporotic bones are more at risk of fracture.,PTM:Glycosylated; contains N-acetylglucosamine, probably O-linked.,PTM:Phosphorylated by cyclin A/CDK2. Phosphorylation probably enhances transcri
Subcellular Location:[Isoform 1]: Nucleus . Cytoplasm . Cell membrane ; Peripheral membrane protein ; Cytoplasmic side . A minor fraction is associated with the inner membrane.; [Isoform 3]: Nucleus. Cytoplasm. Cell membrane; Peripheral membrane protein; Cytoplasmic side. Cell membrane; Single-pass type I membrane protein. Associated with the inner membrane via palmitoylation (Probable). At least a subset exists as a transmembrane protein with a N-terminal extracellular domain. .; Nucleus. Golgi apparatus. Cell membrane. Colocalizes with ZDHHC7 and ZDHHC21 in the Golgi apparatus where most probably palmitoylation occurs. Associated with the plasma membrane when palmitoylated.
Expression:Widely expressed (PubMed:10970861). Not expressed in the pituitary gland (PubMed:10970861). ; [Isoform 3]: Widely expressed, however not expressed in the pituitary gland.
商品信息已成功复制,启研竭诚为您服务
