Target:PR
Fields:Oocyte meiosis;Progesterone-mediated oocyte maturation;Estrogen signaling pathway;Chemical carcinogenesis - receptor activation;Breast cancer
Gene Name:PGR
Protein Name:Progesterone receptor
Human Gene Id:5241
Human Swiss Prot No:P06401
Mouse Swiss Prot No:Q00175
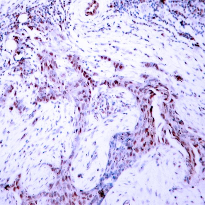
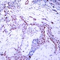
Immunogen:The antiserum was produced against synthesized peptide derived from human Progesterone Receptor around the phosphorylation site of Ser190. AA range:161-210
Specificity:Phospho-PR (S190) Polyclonal Antibody detects endogenous levels of PR protein only when phosphorylated at S190.
Formulation:Liquid in PBS containing 50% glycerol, 0.5% BSA and 0.02% sodium azide.
Source:Polyclonal, Rabbit,IgG
Dilution:WB 1:500 - 1:2000. IHC 1:100 - 1:300. ELISA: 1:20000.. IF 1:50-200
Purification:The antibody was affinity-purified from rabbit antiserum by affinity-chromatography using epitope-specific immunogen.
Concentration:1 mg/ml
Storage Stability:-15°C to -25°C/1 year(Do not lower than -25°C)
Other Name:PGR;NR3C3;Progesterone receptor;PR;Nuclear receptor subfamily 3 group C member 3
Observed Band(KD):99kD
Background: This gene encodes a member of the steroid receptor superfamily. The encoded protein mediates the physiological effects of progesterone, which plays a central role in reproductive events associated with the establishment and maintenance of pregnancy. This gene uses two distinct promotors and translation start sites in the first exon to produce several transcript variants, both protein coding and non-protein coding. Two of the isoforms (A and B) are identical except for an additional 165 amino acids found in the N-terminus of isoform B and mediate their own response genes and physiologic effects with little overlap. [provided by RefSeq, Sep 2015],
Function:domain:Composed of three domains: a modulating N-terminal domain, a DNA-binding domain and a C-terminal steroid-binding domain.,function:Isoform A is inactive in stimulating c-Src/MAPK signaling on hormone stimulation.,function:The steroid hormones and their receptors are involved in the regulation of eukaryotic gene expression and affect cellular proliferation and differentiation in target tissues. Progesterone receptor isoform B (PRB) is involved activation of c-SRC/MAPK signaling on hormone stimulation.,online information:Progesterone receptor entry,PTM:Phosphorylated on multiple serine sites. Several of these sites are hormone-dependent. Phosphorylation on Ser-294 occurs preferentially on isoform B, is highly hormone-dependent and modulates ubiquitination and sumoylation on Lys-388. Phosphorylation on Ser-102 and Ser-345 also requires induction by hormone. Basal phosphorylation on Se
Subcellular Location:Nucleus. Cytoplasm. Nucleoplasmic shuttling is both hormone- and cell cycle-dependent. On hormone stimulation, retained in the cytoplasm in the G(1) and G(2)/M phases.; [Isoform A]: Nucleus. Cytoplasm. Mainly nuclear.; [Isoform 4]: Mitochondrion outer membrane .
Expression:In reproductive tissues the expression of isoform A and isoform B varies as a consequence of developmental and hormonal status. Isoform A and isoform B are expressed in comparable levels in uterine glandular epithelium during the proliferative phase of the menstrual cycle. Expression of isoform B but not of isoform A persists in the glands during mid-secretory phase. In the stroma, isoform A is the predominant form throughout the cycle. Heterogeneous isoform expression between the glands of the endometrium basalis and functionalis is implying region-specific responses to hormonal stimuli.
商品信息已成功复制,启研竭诚为您服务
