Target:HMGB1
Fields:Base excision repair;Autophagy - animal;Necroptosis;Neutrophil extracellular trap formation
Gene Name:HMGB1
Protein Name:High mobility group protein B1
Human Gene Id:3146
Human Swiss Prot No:P09429
Mouse Gene Id:100862258
Mouse Swiss Prot No:P63158
Rat Gene Id:25459
Rat Swiss Prot No:P63159
Immunogen:Synthesized peptide derived from the N-terminal region of human HMG-1.
Specificity:HMG-1 Polyclonal Antibody detects endogenous levels of HMG-1 protein.
Formulation:Liquid in PBS containing 50% glycerol, 0.5% BSA and 0.02% sodium azide.
Source:Polyclonal, Rabbit,IgG
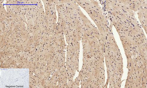
Dilution:IF 1:50-200 WB 1:500 - 1:2000. IHC: 1:100-1:300. ELISA: 1:20000. Not yet tested in other applications.
Purification:The antibody was affinity-purified from rabbit antiserum by affinity-chromatography using epitope-specific immunogen.
Concentration:1 mg/ml
Storage Stability:-15°C to -25°C/1 year(Do not lower than -25°C)
Other Name:HMGB1;HMG1;High mobility group protein B1;High mobility group protein 1;HMG-1
Observed Band(KD):about 30kd
Background: This gene encodes a protein that belongs to the High Mobility Group-box superfamily. The encoded non-histone, nuclear DNA-binding protein regulates transcription, and is involved in organization of DNA. This protein plays a role in several cellular processes, including inflammation, cell differentiation and tumor cell migration. Multiple pseudogenes of this gene have been identified. Alternative splicing results in multiple transcript variants that encode the same protein. [provided by RefSeq, Sep 2015],
Function:function:Binds preferentially single-stranded DNA and unwinds double stranded DNA.,similarity:Belongs to the HMGB family.,similarity:Contains 2 HMG box DNA-binding domains.,
Subcellular Location:Nucleus . Chromosome . Cytoplasm . Secreted . Cell membrane ; Peripheral membrane protein ; Extracellular side . Endosome . Endoplasmic reticulum-Golgi intermediate compartment . In basal state predominantly nuclear. Shuttles between the cytoplasm and the nucleus (PubMed:12231511, PubMed:17114460). Translocates from the nucleus to the cytoplasm upon autophagy stimulation (PubMed:20819940). Release from macrophages in the extracellular milieu requires the activation of NLRC4 or NLRP3 inflammasomes (By similarity). Passively released to the extracellular milieu from necrotic cells by diffusion, involving the fully reduced HGMB1 which subsequently gets oxidized (PubMed:19811284). Also released from apoptotic cells (PubMed:16855214, PubMed:18631454). Active secretion from a variety of immune a
Expression:Ubiquitous. Expressed in platelets (PubMed:11154118).
商品信息已成功复制,启研竭诚为您服务
