Target:SAA4
Gene Name:SAA4
Protein Name:Serum amyloid A-4 protein
Human Gene Id:6291
Human Swiss Prot No:P35542
Mouse Swiss Prot No:P31532
Immunogen:The antiserum was produced against synthesized peptide derived from human SAA4. AA range:81-130
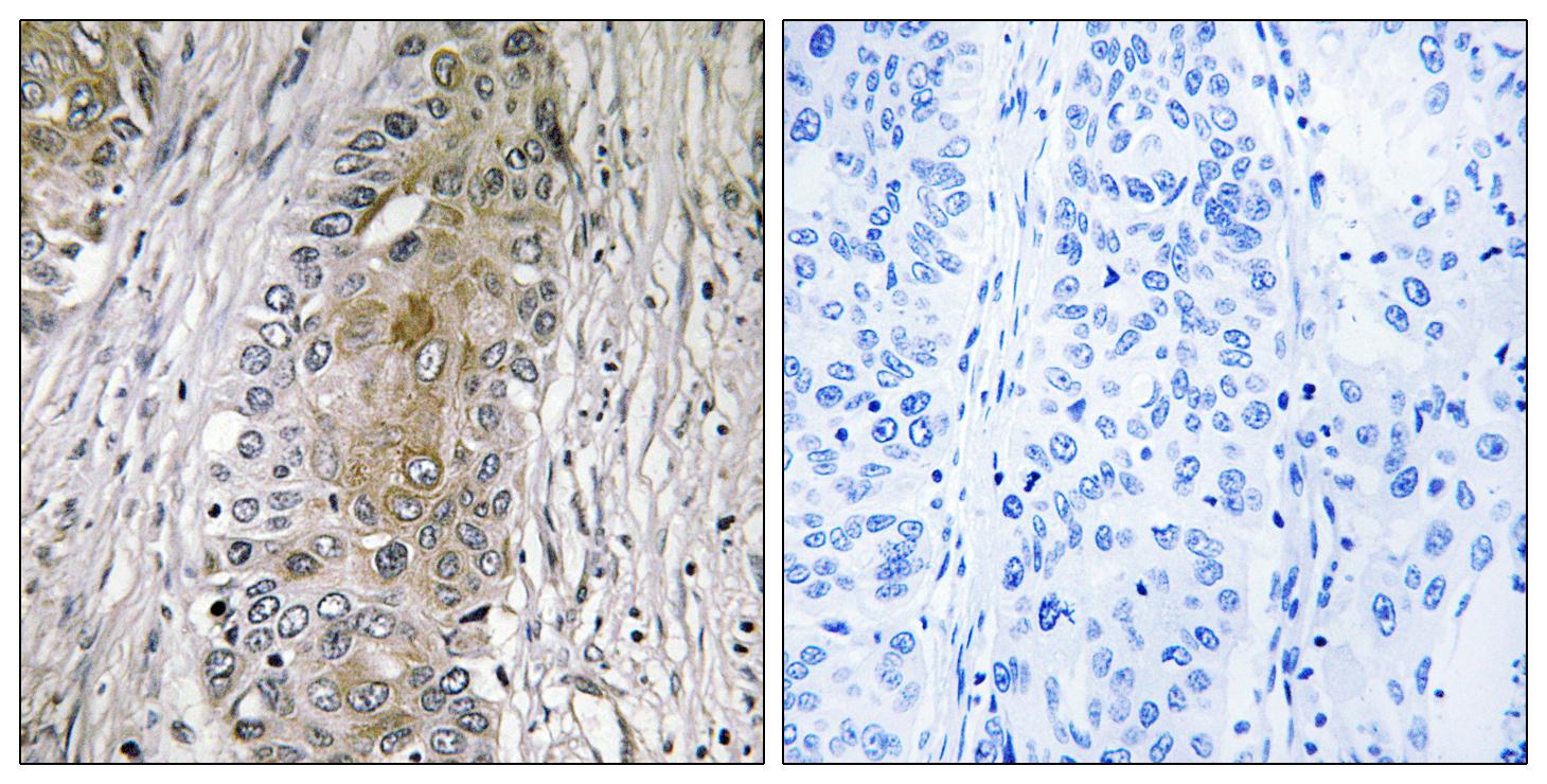
Specificity:SAA4 Polyclonal Antibody detects endogenous levels of SAA4 protein.
Formulation:Liquid in PBS containing 50% glycerol, 0.5% BSA and 0.02% sodium azide.
Source:Polyclonal, Rabbit,IgG
Dilution:IHC 1:100 - 1:300. ELISA: 1:40000.. IF 1:50-200
Purification:The antibody was affinity-purified from rabbit antiserum by affinity-chromatography using epitope-specific immunogen.
Concentration:1 mg/ml
Storage Stability:-15°C to -25°C/1 year(Do not lower than -25°C)
Other Name:SAA4;CSAA;Serum amyloid A-4 protein;Constitutively expressed serum amyloid A protein;C-SAA
Molecular Weight(Da):15kD
Background:function:Major acute phase reactant. Apolipoprotein of the HDL complex.,induction:Constitutively expressed.,similarity:Belongs to the SAA family.,tissue specificity:Expressed by the liver; secreted in plasma.,
Function:function:Major acute phase reactant. Apolipoprotein of the HDL complex.,induction:Constitutively expressed.,similarity:Belongs to the SAA family.,tissue specificity:Expressed by the liver; secreted in plasma.,
Subcellular Location:Secreted .
Expression:Expressed by the liver; secreted in plasma.
商品信息已成功复制,启研竭诚为您服务
