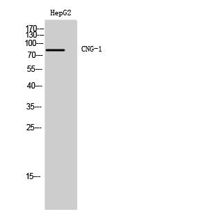
Target:CNG-1
Fields:cGMP-PKG signaling pathway;cAMP signaling pathway;Phototransduction
Gene Name:CNGA1
Protein Name:cGMP-gated cation channel alpha-1
Human Gene Id:1259
Human Swiss Prot No:P29973
Mouse Gene Id:12788
Mouse Swiss Prot No:P29974
Rat Gene Id:85259
Rat Swiss Prot No:Q62927
Immunogen:The antiserum was produced against synthesized peptide derived from human CNGA1. AA range:401-450
Specificity:CNG-1 Polyclonal Antibody detects endogenous levels of CNG-1 protein.
Formulation:Liquid in PBS containing 50% glycerol, 0.5% BSA and 0.02% sodium azide.
Source:Polyclonal, Rabbit,IgG
Dilution:WB 1:500 - 1:2000. ELISA: 1:40000. Not yet tested in other applications.
Purification:The antibody was affinity-purified from rabbit antiserum by affinity-chromatography using epitope-specific immunogen.
Concentration:1 mg/ml
Storage Stability:-15°C to -25°C/1 year(Do not lower than -25°C)
Other Name:CNGA1;CNCG;CNCG1;cGMP-gated cation channel alpha-1;Cyclic nucleotide-gated cation channel 1;Cyclic nucleotide-gated channel alpha-1;CNG channel alpha-1;CNG-1;CNG1;Cyclic nucleotide-gated channel; photoreceptor;Rod photoreceptor cG
Observed Band(KD):80kD
Background: The protein encoded by this gene is involved in phototransduction. Along with another protein, the encoded protein forms a cGMP-gated cation channel in the plasma membrane, allowing depolarization of rod photoreceptors. This represents the last step in the phototransduction pathway. Defects in this gene are a cause of retinitis pigmentosa autosomal recessive (ARRP) disease. Two transcript variants encoding different isoforms have been found for this gene. [provided by RefSeq, Dec 2008],
Function:caution:It is uncertain whether Met-1 or Met-5 is the initiator.,disease:Defects in CNGA1 are a cause of retinitis pigmentosa autosomal recessive (ARRP) [MIM:268000]. RP leads to degeneration of retinal photoreceptor cells. Patients typically have night vision blindness and loss of midperipheral visual field. As their condition progresses, they lose their far peripheral visual field and eventually central vision as well.,function:Visual signal transduction is mediated by a G-protein coupled cascade using cGMP as second messenger. This protein can be activated by cyclic GMP which leads to an opening of the cation channel and thereby causing a depolarization of rod photoreceptors.,online information:Retina International's Scientific Newsletter,similarity:Belongs to the cyclic nucleotide-gated cation channel (TC 1.A.1.5) family.,similarity:Contains 1 cyclic nucleotide-binding domain.,subuni
Subcellular Location:Cell membrane ; Multi-pass membrane protein .
Expression:Rod cells in the retina.
商品信息已成功复制,启研竭诚为您服务
