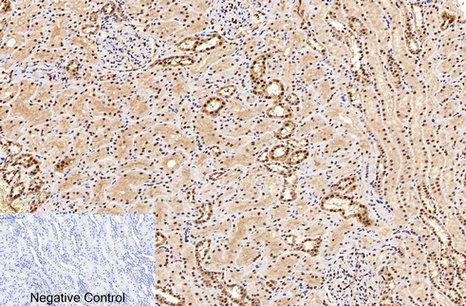
Target:Caspase-7
Fields:Apoptosis;Apoptosis - multiple species;TNF signaling pathway;Non-alcoholic fatty liver disease;Alzheimer disease;Pathways of neurodegeneration - multiple diseases;Pathogenic Escherichia coli infection;Salmonella infection;Pertussis;Legionellosis;Pathways in cancer;Lipid and atherosclerosis
Gene Name:CASP7
Protein Name:Caspase7
Human Gene Id:840
Human Swiss Prot No:P55210
Mouse Swiss Prot No:P97864
Immunogen:Synthesized peptide derived from Caspase-7 . at AA range: 160-240
Specificity:Caspase-7 Polyclonal Antibody detects endogenous levels of Caspase-7 protein.
Formulation:Liquid in PBS containing 50% glycerol, 0.5% BSA and 0.02% sodium azide.
Source:Polyclonal, Rabbit,IgG
Dilution:WB 1:500-2000, IF 1:50-300, IHC 1:50-300
Purification:The antibody was affinity-purified from rabbit antiserum by affinity-chromatography using epitope-specific immunogen.
Concentration:1 mg/ml
Storage Stability:-15°C to -25°C/1 year(Do not lower than -25°C)
Other Name:CASP7;MCH3;Caspase-7;CASP-7;Apoptotic protease Mch-3;CMH-1;ICE-like apoptotic protease 3;ICE-LAP3
Observed Band(KD):34kD
Background: This gene encodes a member of the cysteine-aspartic acid protease (caspase) family. Sequential activation of caspases plays a central role in the execution-phase of cell apoptosis. Caspases exist as inactive proenzymes which undergo proteolytic processing at conserved aspartic residues to produce two subunits, large and small, that dimerize to form the active enzyme. The precursor of the encoded protein is cleaved by caspase 3 and 10, is activated upon cell death stimuli and induces apoptosis. Alternatively spliced transcript variants encoding multiple isoforms have been observed for this gene. [provided by RefSeq, May 2012],
Function:catalytic activity:Strict requirement for an Asp residue at position P1 and has a preferred cleavage sequence of Asp-Glu-Val-Asp-|-.,enzyme regulation:Inhibited by isatin sulfonamides.,function:Involved in the activation cascade of caspases responsible for apoptosis execution. Cleaves and activates sterol regulatory element binding proteins (SREBPs). Proteolytically cleaves poly(ADP-ribose) polymerase (PARP) at a '216-Asp-|-Gly-217' bond. Overexpression promotes programmed cell death.,PTM:Cleavages by granzyme B or caspase-10 generate the two active subunits. Propeptide domains can also be cleaved efficiently by caspase-3. Active heterodimers between the small subunit of caspase-7 and the large subunit of caspase-3, and vice versa, also occur.,similarity:Belongs to the peptidase C14A family.,subunit:Heterotetramer that consists of two anti-parallel arranged heterodimers, each one formed
Subcellular Location:Cytoplasm.
Expression:Highly expressed in lung, skeletal muscle, liver, kidney, spleen and heart, and moderately in testis. No expression in the brain.
商品信息已成功复制,启研竭诚为您服务
