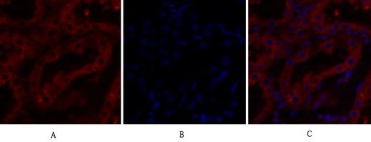
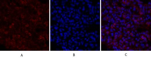
Target:Calnexin
Fields:Protein processing in endoplasmic reticulum;Phagosome;Antigen processing and presentation;Thyroid hormone synthesis;Human T-cell leukemia virus 1 infection
Gene Name:CANX
Protein Name:Calnexin
Human Gene Id:821
Human Swiss Prot No:P27824
Mouse Gene Id:12330
Mouse Swiss Prot No:P35564
Rat Gene Id:29144
Rat Swiss Prot No:P35565
Immunogen:The antiserum was produced against synthesized peptide derived from human Calnexin. AA range:543-592
Specificity:Calnexin Polyclonal Antibody detects endogenous levels of Calnexin protein.
Formulation:Liquid in PBS containing 50% glycerol, 0.5% BSA and 0.02% sodium azide.
Source:Polyclonal, Rabbit,IgG
Dilution:WB 1:500 - 1:2000. IHC: 1:100-300 ELISA: 1:20000. IF 1:100-300 Not yet tested in other applications.
Purification:The antibody was affinity-purified from rabbit antiserum by affinity-chromatography using epitope-specific immunogen.
Concentration:1 mg/ml
Storage Stability:-15°C to -25°C/1 year(Do not lower than -25°C)
Other Name:CANX;Calnexin;IP90;Major histocompatibility complex class I antigen-binding protein p88;p90
Observed Band(KD):90kD
Background: This gene encodes a member of the calnexin family of molecular chaperones. The encoded protein is a calcium-binding, endoplasmic reticulum (ER)-associated protein that interacts transiently with newly synthesized N-linked glycoproteins, facilitating protein folding and assembly. It may also play a central role in the quality control of protein folding by retaining incorrectly folded protein subunits within the ER for degradation. Alternatively spliced transcript variants encoding the same protein have been described. [provided by RefSeq, Jul 2008],
Function:function:Calcium-binding protein that interacts with newly synthesized glycoproteins in the endoplasmic reticulum. It may act in assisting protein assembly and/or in the retention within the ER of unassembled protein subunits. It seems to play a major role in the quality control apparatus of the ER by the retention of incorrectly folded proteins.,online information:Calnexin entry,similarity:Belongs to the calreticulin family.,subcellular location:Identified by mass spectrometry in melanosome fractions from stage I to stage IV.,
Subcellular Location:Endoplasmic reticulum membrane ; Single-pass type I membrane protein . Endoplasmic reticulum . Melanosome . Identified by mass spectrometry in melanosome fractions from stage I to stage IV (PubMed:12643545, PubMed:17081065). The palmitoylated form preferentially localizes to the perinuclear rough ER (PubMed:22314232). .
Expression: B-cell lymphoma,Epithelium,Fibroblast,Keratinocyte,Kidney,Liver,Lymph,Placenta,Platelet,
商品信息已成功复制,启研竭诚为您服务
