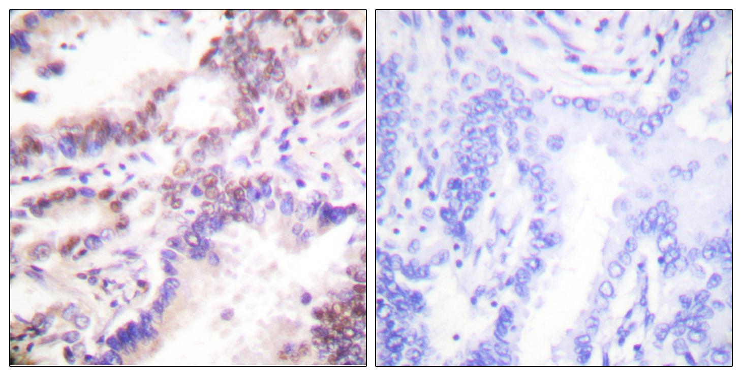
Target:CtIP
Fields:Homologous recombination
Gene Name:RBBP8
Protein Name:DNA endonuclease RBBP8
Human Gene Id:5932
Human Swiss Prot No:Q99708
Mouse Gene Id:225182
Mouse Swiss Prot No:Q80YR6
Immunogen:The antiserum was produced against synthesized peptide derived from human CTIP. AA range:293-342
Specificity:CtIP Polyclonal Antibody detects endogenous levels of CtIP protein.
Formulation:Liquid in PBS containing 50% glycerol, 0.5% BSA and 0.02% sodium azide.
Source:Polyclonal, Rabbit,IgG
Dilution:WB 1:500-2000 IHC 1:100 - 1:300. ELISA: 1:40000.. IF 1:50-200
Purification:The antibody was affinity-purified from rabbit antiserum by affinity-chromatography using epitope-specific immunogen.
Concentration:1 mg/ml
Storage Stability:-15°C to -25°C/1 year(Do not lower than -25°C)
Other Name:RBBP8;CTIP;DNA endonuclease RBBP8;CtBP-interacting protein;CtIP;Retinoblastoma-binding protein 8;RBBP-8;Retinoblastoma-interacting protein and myosin-like;RIM;Sporulation in the absence of SPO11 protein 2 homolog;SAE2
Observed Band(KD):100kD
Background: The protein encoded by this gene is a ubiquitously expressed nuclear protein. It is found among several proteins that bind directly to retinoblastoma protein, which regulates cell proliferation. This protein complexes with transcriptional co-repressor CTBP. It is also associated with BRCA1 and is thought to modulate the functions of BRCA1 in transcriptional regulation, DNA repair, and/or cell cycle checkpoint control. It is suggested that this gene may itself be a tumor suppressor acting in the same pathway as BRCA1. Three transcript variants encoding two different isoforms have been found for this gene. More transcript variants exist, but their full-length natures have not been determined. [provided by RefSeq, Jul 2008],
Function:function:May modulate the functions ascribed to BRCA1 in transcriptional regulation, DNA repair, and/or cell cycle checkpoint control.,PTM:Phosphorylated upon DNA damage, probably by ATM or ATR. Hyperphosphorylation upon ionizing radiation results in dissociation from BRCA1.,PTM:Ubiquitinated; mediated by SIAH1 and leading to its subsequent proteasomal degradation.,subcellular location:Predominantly nuclear.,subunit:Interacts with CTBP, with the C-terminal (BRCT) domains of BRCA1, and with the retinoblastoma protein.,
Subcellular Location:Nucleus . Chromosome . Associates with sites of DNA damage in S/G2 phase (PubMed:10764811, PubMed:25349192). Ubiquitinated RBBP8 binds to chromatin following DNA damage (PubMed:16818604). .
Expression:Expressed in ER-positive breast cancer lines, but tends to be down-regulated ER-negative cells (at protein level).
商品信息已成功复制,启研竭诚为您服务
