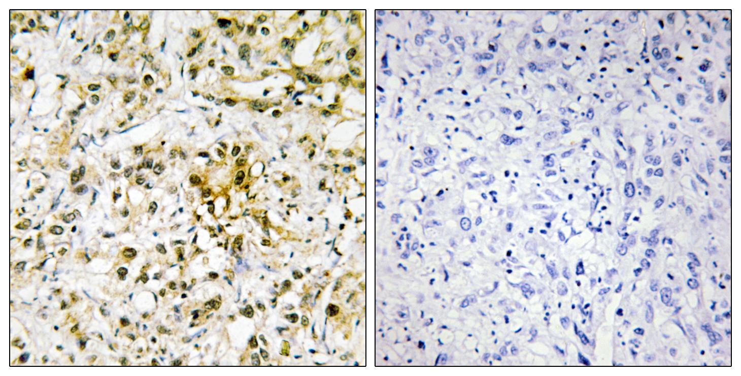
Target:Galectin-4
Gene Name:LGALS4
Protein Name:Galectin-4
Human Gene Id:3960
Human Swiss Prot No:P56470
Mouse Swiss Prot No:Q8K419
Immunogen:The antiserum was produced against synthesized peptide derived from human LEG4. AA range:61-110
Specificity:Galectin-4 Polyclonal Antibody detects endogenous levels of Galectin-4 protein.
Formulation:Liquid in PBS containing 50% glycerol, 0.5% BSA and 0.02% sodium azide.
Source:Polyclonal, Rabbit,IgG
Dilution:WB 1:500 - 1:2000. IHC 1:100 - 1:300. ELISA: 1:20000.. IF 1:50-200
Purification:The antibody was affinity-purified from rabbit antiserum by affinity-chromatography using epitope-specific immunogen.
Concentration:1 mg/ml
Storage Stability:-15°C to -25°C/1 year(Do not lower than -25°C)
Other Name:LGALS4;Galectin-4;Gal-4;Antigen NY-CO-27;L-36 lactose-binding protein;L36LBP;Lactose-binding lectin 4
Observed Band(KD):36kD
Background: The galectins are a family of beta-galactoside-binding proteins implicated in modulating cell-cell and cell-matrix interactions. The expression of this gene is restricted to small intestine, colon, and rectum, and it is underexpressed in colorectal cancer. [provided by RefSeq, Jul 2008],
Function:domain:Contains two homologous but distinct carbohydrate-binding domains.,function:Galectin that binds lactose and a related range of sugars. May be involved in the assembly of adherens junctions.,online information:Galectin-4,similarity:Contains 2 galectin domains.,subunit:Monomer.,
Subcellular Location:extracellular space,cytosol,plasma membrane,
Expression: Colon,Colon carcinoma,Gastric carcinoma,Skin,
商品信息已成功复制,启研竭诚为您服务
