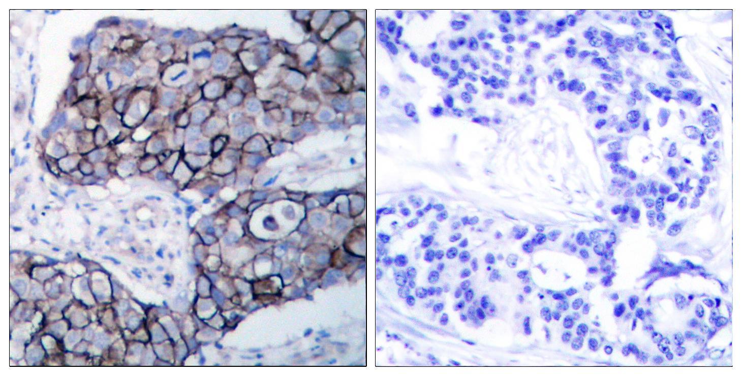
Target:Integrin β3
Fields:Rap1 signaling pathway;Phagosome;PI3K-Akt signaling pathway;Osteoclast differentiation;Focal adhesion;ECM-receptor interaction;Platelet activation;Neutrophil extracellular trap formation;Hematopoietic cell lineage;Regulation of actin cytoskeleton;Thyroid hormone signaling pathway;Human cytomegalovirus infection;Human papillomavirus infection;Herpes simplex virus 1 infection;Proteoglycans in cancer;MicroRNAs in cancer;Hypertrophic cardiomyopathy;Arrhythmogenic right ventricular cardiomyopathy;Dilated cardiomyopathy;Fluid shear stress and atherosclerosis
Gene Name:ITGB3
Protein Name:Integrin beta-3
Human Gene Id:3690
Human Swiss Prot No:P05106
Mouse Gene Id:16416
Mouse Swiss Prot No:O54890
Immunogen:The antiserum was produced against synthesized peptide derived from human Integrin beta3. AA range:739-788
Specificity:Integrin β3 Polyclonal Antibody detects endogenous levels of Integrin β3 protein.
Formulation:Liquid in PBS containing 50% glycerol, 0.5% BSA and 0.02% sodium azide.
Source:Polyclonal, Rabbit,IgG
Dilution:WB 1:500 - 1:2000. IHC: 1:100-300 ELISA: 1:20000. IF 1:100-300 Not yet tested in other applications.
Purification:The antibody was affinity-purified from rabbit antiserum by affinity-chromatography using epitope-specific immunogen.
Concentration:1 mg/ml
Storage Stability:-15°C to -25°C/1 year(Do not lower than -25°C)
Other Name:ITGB3;GP3A;Integrin beta-3;Platelet membrane glycoprotein IIIa;GPIIIa;CD antigen CD61
Observed Band(KD):110kD
Background: The ITGB3 protein product is the integrin beta chain beta 3. Integrins are integral cell-surface proteins composed of an alpha chain and a beta chain. A given chain may combine with multiple partners resulting in different integrins. Integrin beta 3 is found along with the alpha IIb chain in platelets. Integrins are known to participate in cell adhesion as well as cell-surface mediated signalling. [provided by RefSeq, Jul 2008],
Function:disease:Defects in ITGB3 are a cause of Glanzmann thrombasthenia (GT) [MIM:273800]; also known as thrombasthenia of Glanzmann and Naegeli. GT is the most common inherited disease of platelets. Its inheritance is autosomal recessive. It is characterized by mucocutaneous bleeding of mild-to-moderate severity and the inability of this integrin to recognize macromolecular or synthetic peptide ligands. GT has been classified clinically into types I and II. In type I, platelets show absence of the glycoprotein IIb-IIIa complexes at their surface and lack fibrinogen and clot retraction capability. In type II, the platelets express the GPIIb-IIIa complex at reduced levels (5-20% controls), have detectable amounts of fibrinogen, and have low or moderate clot retraction capability. The platelets of GT variants have normal or near normal (60-100%) expression of dysfunctional receptors.,function:Int
Subcellular Location:Cell membrane ; Single-pass type I membrane protein . Cell projection, lamellipodium membrane . Cell junction, focal adhesion . Cell junction, synapse, postsynaptic cell membrane ; Single-pass type I membrane protein . Cell junction, synapse .
Expression:Isoform beta-3A and isoform beta-3C are widely expressed. Isoform beta-3A is specifically expressed in osteoblast cells; isoform beta-3C is specifically expressed in prostate and testis.
商品信息已成功复制,启研竭诚为您服务
