Target:IL-5
Fields:Cytokine-cytokine receptor interaction;JAK-STAT signaling pathway;Hematopoietic cell lineage;IL-17 signaling pathway;Th1 and Th2 cell differentiation;T cell receptor signaling pathway;Fc epsilon RI signaling pathway;Intestinal immune network for IgA production;Pathways in cancer;Asthma;Autoimmune thyroid disease;Inflammatory bowel disease;Allograft rejection
Gene Name:IL5
Protein Name:Interleukin-5
Human Gene Id:3567
Human Swiss Prot No:P05113
Mouse Gene Id:16191
Mouse Swiss Prot No:P04401
Rat Swiss Prot No:Q08125
Immunogen:The antiserum was produced against synthesized peptide derived from human IL-5. AA range:43-92
Specificity:IL-5 Polyclonal Antibody detects endogenous levels of IL-5 protein.
Formulation:Liquid in PBS containing 50% glycerol, 0.5% BSA and 0.02% sodium azide.
Source:Polyclonal, Rabbit,IgG
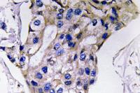
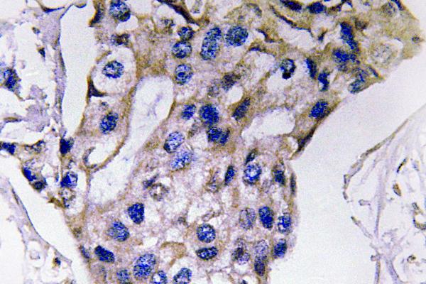
Dilution:WB 1:500 - 1:2000. IHC 1:100 - 1:300. ELISA: 1:5000.. IF 1:50-200
Purification:The antibody was affinity-purified from rabbit antiserum by affinity-chromatography using epitope-specific immunogen.
Concentration:1 mg/ml
Storage Stability:-15°C to -25°C/1 year(Do not lower than -25°C)
Other Name:IL5;Interleukin-5;IL-5;B-cell differentiation factor I;Eosinophil differentiation factor;T-cell replacing factor;TRF
Observed Band(KD):30kD
Background: This gene encodes a cytokine that acts as a growth and differentiation factor for both B cells and eosinophils. The encoded cytokine plays a major role in the regulation of eosinophil formation, maturation, recruitment and survival. The increased production of this cytokine may be related to pathogenesis of eosinophil-dependent inflammatory diseases. This cytokine functions by binding to its receptor, which is a heterodimer, whose beta subunit is shared with the receptors for interleukine 3 (IL3) and colony stimulating factor 2 (CSF2/GM-CSF). This gene is located on chromosome 5 within a cytokine gene cluster which includes interleukin 4 (IL4), interleukin 13 (IL13), and CSF2 . This gene, IL4, and IL13 may be regulated coordinately by long-range regulatory elements spread over 120 kilobases on chromosome 5q31. [provided by RefSeq, Jul 2013],
Function:function:Factor that induces terminal differentiation of late-developing B-cells to immunoglobulin secreting cells.,online information:Interleukin-5 entry,similarity:Belongs to the IL-5 family.,subunit:Homodimer; disulfide-linked.,
Subcellular Location:Secreted.
商品信息已成功复制,启研竭诚为您服务
