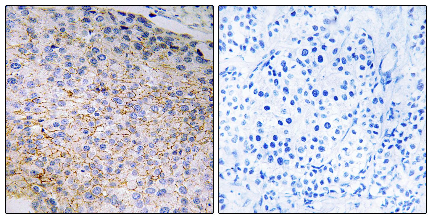
Target:Nox3
Gene Name:NOX3
Protein Name:NADPH oxidase 3
Human Gene Id:50508
Human Swiss Prot No:Q9HBY0
Mouse Gene Id:224480
Mouse Swiss Prot No:Q672J9
Rat Gene Id:292279
Rat Swiss Prot No:Q672K1
Immunogen:The antiserum was produced against synthesized peptide derived from human NOX3. AA range:287-336
Specificity:Nox3 Polyclonal Antibody detects endogenous levels of Nox3 protein.
Formulation:Liquid in PBS containing 50% glycerol, 0.5% BSA and 0.02% sodium azide.
Source:Polyclonal, Rabbit,IgG
Dilution:WB 1:500 - 1:2000. IHC 1:100 - 1:300. ELISA: 1:40000.. IF 1:50-200
Purification:The antibody was affinity-purified from rabbit antiserum by affinity-chromatography using epitope-specific immunogen.
Concentration:1 mg/ml
Storage Stability:-15°C to -25°C/1 year(Do not lower than -25°C)
Other Name:NOX3;MOX2;NADPH oxidase 3;Mitogenic oxidase 2;MOX-2;gp91phox homolog 3;GP91-3
Observed Band(KD):65kD
Background: This gene encodes a member of the NOX family of NADPH oxidases. These enzymes have the capacity to generate superoxide and other reactive oxygen species (ROS) and transport electrons across the plasma membrane. The ROS generated by family members have been implicated in numerous biological functions including host defense, posttranlational processing of proteins, cellular signaling, regulation of gene expression, and cell differentiation. The protein encoded by this gene is expressed predominantly in the inner ear and is involved in the biogenesis of otoconia/otolith, which are crystalline structures of the inner ear involved in the perception of gravity.[provided by RefSeq, May 2009],
Function:developmental stage:Expressed in fetal kidney and to a lower extent in liver, lung and spleen.,enzyme regulation:Activated by the ototoxic drug cisplatin (By similarity). Activated by NOXO1. Cooperatively activated by NCF1 and NCF2 or NOXA1 in a phorbol 12-myristate 13-acetate (PMA)-dependent manner. Inhibited by diphenyleneiodonium chloride.,function:NADPH oxidase which constitutively produces superoxide upon formation of a complex with CYBA/p22phox. Plays a role in the biogenesis of otoconia/otolith, which are crystalline structures of the inner ear involved in the perception of gravity.,similarity:Contains 1 FAD-binding FR-type domain.,similarity:Contains 1 ferric oxidoreductase domain.,subunit:Interacts with and stabilizes CYBA/p22phox.,
Subcellular Location:Membrane ; Multi-pass membrane protein .
Expression: Fetal kidney,
商品信息已成功复制,启研竭诚为您服务
