Target:Nop132
Gene Name:NOL8
Protein Name:Nucleolar protein 8
Human Gene Id:55035
Human Swiss Prot No:Q76FK4
Mouse Swiss Prot No:Q3UHX0
Immunogen:The antiserum was produced against synthesized peptide derived from human NOL8. AA range:1118-1167
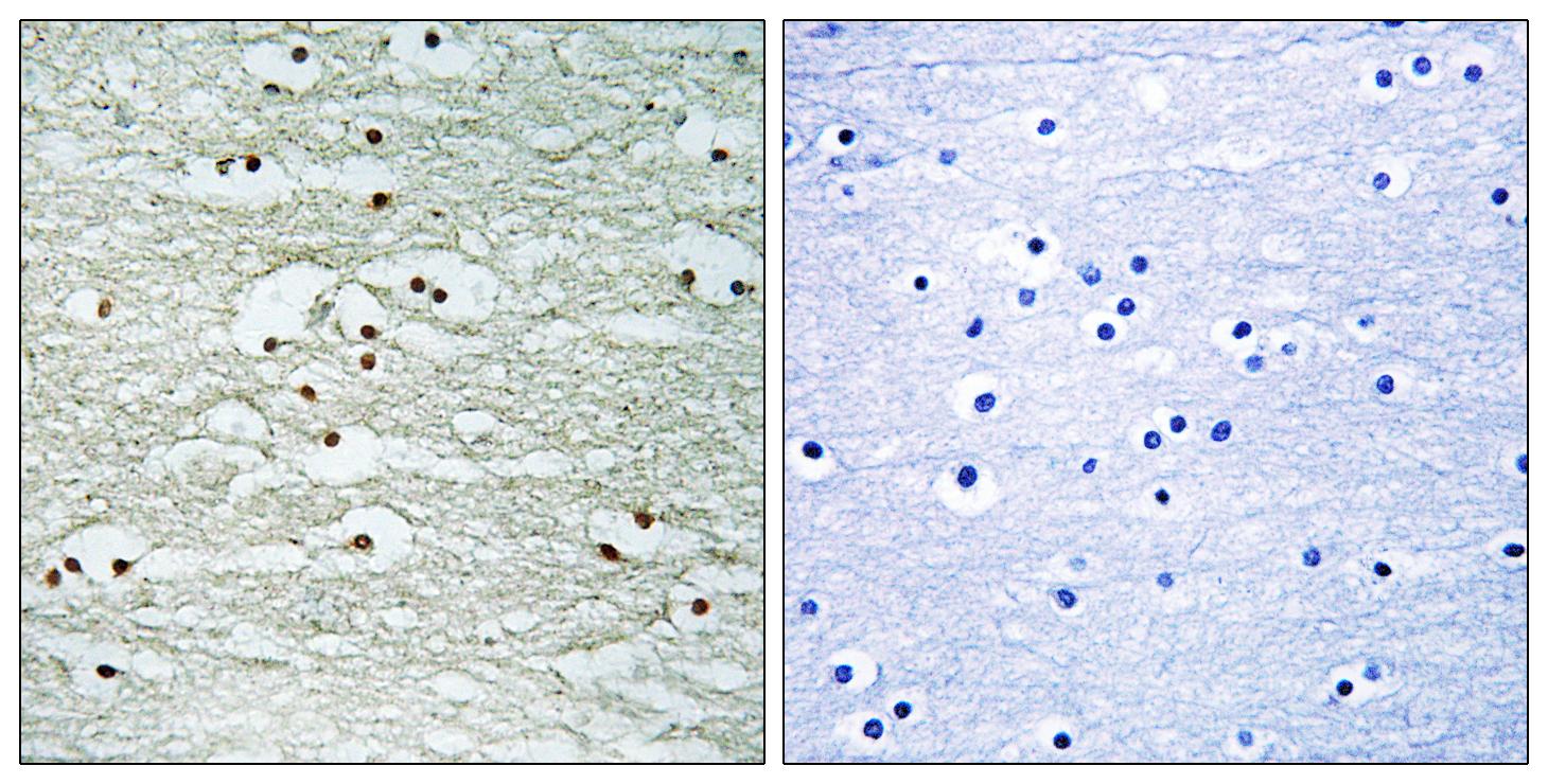
Specificity:Nop132 Polyclonal Antibody detects endogenous levels of Nop132 protein.
Formulation:Liquid in PBS containing 50% glycerol, 0.5% BSA and 0.02% sodium azide.
Source:Polyclonal, Rabbit,IgG
Dilution:WB 1:500 - 1:2000. IHC 1:100 - 1:300. ELISA: 1:20000.. IF 1:50-200
Purification:The antibody was affinity-purified from rabbit antiserum by affinity-chromatography using epitope-specific immunogen.
Concentration:1 mg/ml
Storage Stability:-15°C to -25°C/1 year(Do not lower than -25°C)
Other Name:NOL8;C9orf34;NOP132;Nucleolar protein 8;Nucleolar protein Nop132
Observed Band(KD):130kD
Background: NOL8 binds Ras-related GTP-binding proteins (see MIM 608267) and plays a role in cell growth (Sekiguchi et al., 2004 [PubMed 14660641]).[supplied by OMIM, Mar 2008],
Function:function:Plays an essential role in the survival of diffuse-type gastric cancer cells. May be involved in regulation of gene expression at the post-transcriptional level or in ribosome biogenesis in cancer cells.,induction:Up-regulated in diffuse-type gastric cancers.,PTM:Phosphorylated.,similarity:Contains 1 RRM (RNA recognition motif) domain.,subunit:Interacts with the GTP form of RRAGA, RRAGC and RRAGD. Interacts with NIP7.,tissue specificity:Expressed in various diffuse-type gastric cancers. Detected at lower levels in skeletal muscle.,
Subcellular Location:Nucleus, nucleolus . Localizes in the nucleolar-organizing region during ribosome biogenesis.
Expression:Expressed in various diffuse-type gastric cancers. Detected at lower levels in skeletal muscle.
商品信息已成功复制,启研竭诚为您服务
